
Стоматолог-терапевт, ортопед
Специалист по терапии, эндодонтии, протезированию, микропротезированию
Автор научных статей в популярных медицинских изданиях
Опыт работы с 2005 г. (более 19-ти лет)
Общие первичные приемы
Терапия
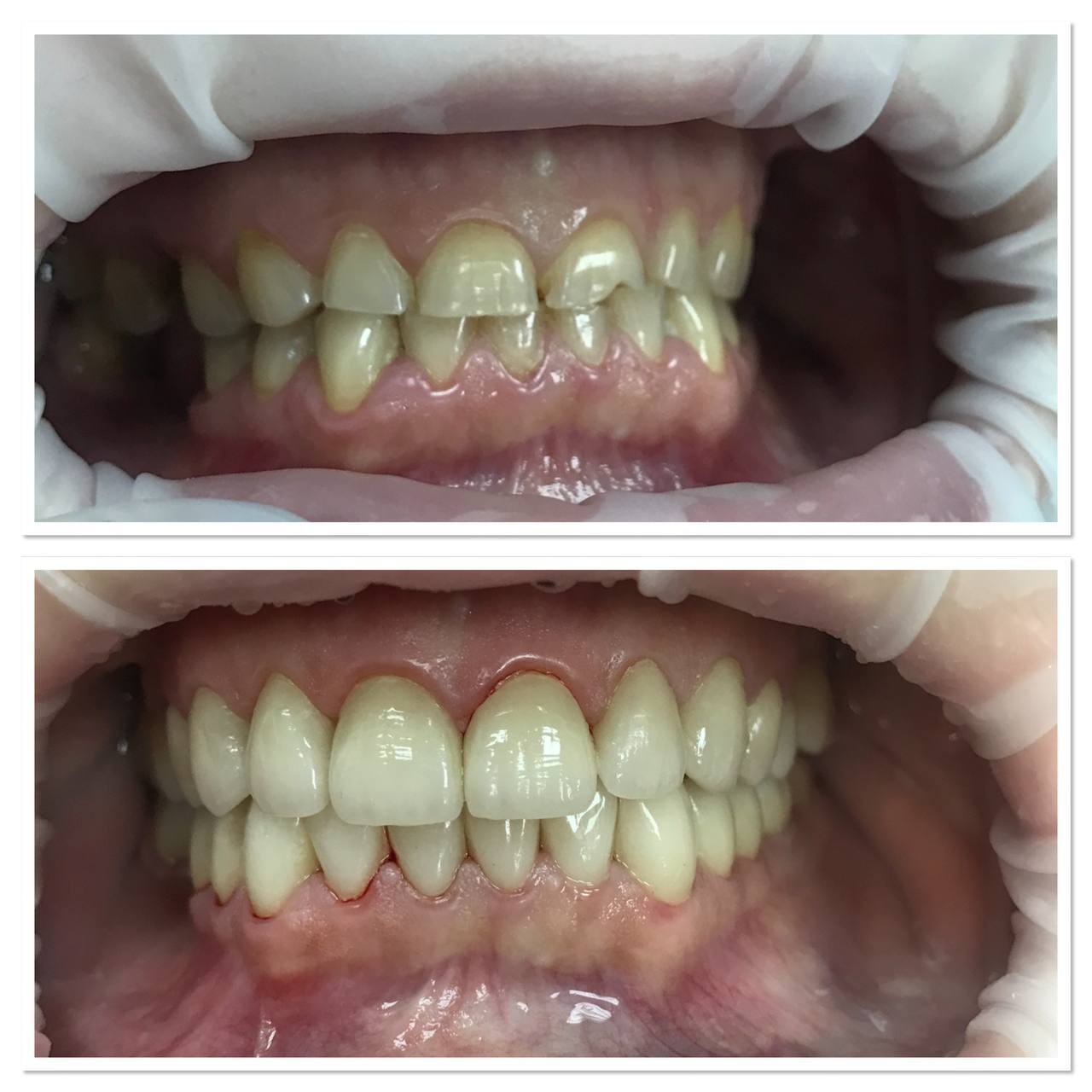
Протезирование/Микропротезирование
Гнатология (работа с ВНЧС)
Образование
Повышение квалификации
участие в конференциях
Хочу выразить огромную благодарность Елене Георгиевне Дерон за профессионализм, внимательный подход, за мою красивую улыбку. Вот уже 6 лет я лечусь и наблюдаюсь у Елены Георгиевны. Если пришло время идти на осмотр, рекомендую моего замечательного доктора.
Жанна
В этом году я решил вылечить все зубы, так как несколько лет не следил за ними. Обратился к уже знакомому и надежному врачу - Елене Дерон. Мы заменили старую пломбу со штифтом на новую коронку и подлечили несколько зубов пломбами. На следующий день были ощущения, что это мой родной зуб. Все очень комфортно и красиво! Спасибо большое за клевую работу!
Сперанский Сергей
Хочу выразить благодарность Дерон Е.Г.! Попасть к хорошему врачу в наше время - большой успех, очень рада, что попала именно к ней, с радостью буду рекомендовать ее как высокого специалиста. Так же большая благодарность ассистентке врача! Спасибо!
Ольга Федорова
Здравствуйте! Вот спустя 2 года решил написать отзыв как говорится) Получилось так, что к Елене Георгиевне попал случайно - искал клинику как можно ближе к работе ибо терпеть дальше уже было страшно! На приеме так и сказал, что от глотка холодного сока у меня даже щеку свело от боли. Дальше доктор уже методично брызгал водой, пока реакция не повторилась уже на проблемном месте. Разгадка оказалось проста, т.к. не так давно вылеченная верхняя семерка снова воспалилась! Лечение было длительным в 3 посещения и с корневыми каналами. В общем болезненные моменты конечно были, но терпимо, хотя и чувствительно. Рекомендую доктора как хорошего специалиста, но лучше не затягивать так как я.
Олег
Огромное спасибо Елене Дерон за профессионализм и внимательность. За то , что измененила мой взгляд на стоматологию и лишила страха перед зубным врачом. Удачи в делах и личной жизни.
Планки Роман







Более 45 дипломов об обучении и повышении квалификации








































